Edit Content

About Us

We must explain to you how all seds this mistakens idea off denouncing pleasures and praising pain was born and I will give you a completed accounts off the system and expound.

Contact Info

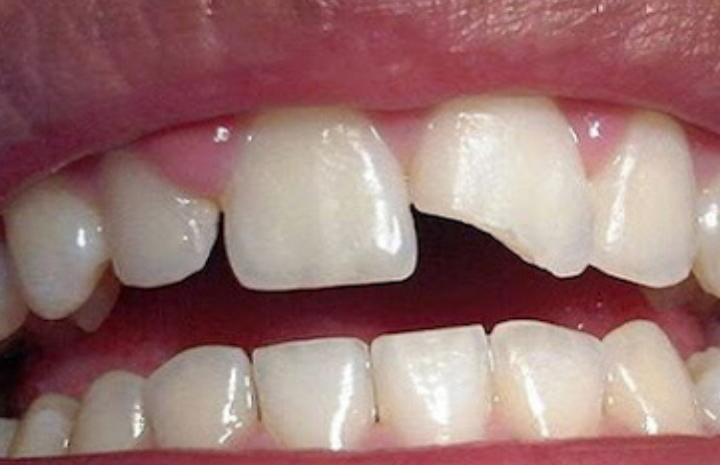
Dente quebrado? Descubra o que você deve fazer!

 Dente quebrado? Descubra o que você deve fazer!

Um sorriso perfeito é um ótimo cartão de visitas, não é mesmo? Mas se uma queda ou uma colisão resultam em dente quebrado, comprometendo tanto a saúde quanto a estética bucal, o que fazer?

Como o dente é uma estrutura de interior delicado, requer certos cuidados para que possa ser restaurado com sucesso.

É importante, assim, saber quais são os primeiros socorros para casos de queda ou fratura. Então, continue a leitura deste post, pois explicaremos como agir no caso de dente quebrado até que você chegue a um consultório.

O que pode levar um dente a quebrar?

São várias as condições que levam um dente a quebrar ou, até mesmo, a cair inteiro. Os motivos mais comuns são os traumas causados por colisões ou quedas, como em esportes em grupo, lutas, ciclismo e corrida, ou em acidentes de trânsito. Entretanto, na prática, até um alimento duro pode trincar ou fraturar um dente.

Qual é o primeiro passo para lidar com um dente quebrado?

Quando constatar a fratura ou a perda do dente, procure a parte que caiu e faça a remoção das impurezas com água, deixando escorrer suavemente. Em seguida, coloque-a em um recipiente contendo água mineral, soro fisiológico ou leite até cobrir, para fazer o transporte adequado.

Vale dizer que, se o dente saiu com a raiz, nunca o segure por ela, pois essa é uma parte muito sensível. Dessa forma, você preserva as estruturas internas e as células do dente, que são essenciais para o dentista providenciar sua reestruturação, aumentando as chances de sucesso do procedimento.

É melhor correr para o dentista ou para um hospital?

Havendo sangramento, faça um leve bochecho com água potável fria e coloque uma gaze com gelo no local do dente atingido. Isso fará o sangue estancar para que você se desloque até o seu dentista ou até a emergência odontológica de maneira mais tranquila.

E não se engane: mesmo que a lesão seja pequena e não haja sangramento, é importante ir ao dentista de imediato para avaliação e acompanhamento. Afinal de contas, qualquer lacuna pode funcionar como porta de entrada para bactérias causadoras de infecções, levando à perda do dente.

Especialmente se o sangramento for intenso e contínuo ou se o grau do trauma tiver sido maior, procure ajuda médica imediatamente, direcionando-se ao pronto-socorro por risco de hemorragia e complicações.

O que não fazer ao quebrar um dente?

Essa é uma ótima pergunta, já que, no desespero da situação ou por falta de informação, muitas pessoas acabam tomando medidas erradas e, consequentemente, comprometendo não só o dente como toda a saúde bucal;
Não use panos, escovas ou outros utensílios para fazer a limpeza da parte que caiu;
Não use produtos de limpeza ou água oxigenada sobre o dente ou parte dele;
Não adie a procura do tratamento adequado;
Não tente colar a parte quebrada por conta própria, pois isso traz riscos à sua saúde e dificulta o trabalho do dentista.
Achou que essas dicas parecem óbvias demais? Pois, acredite: tudo isso acontece com mais frequência do que você pode imaginar.

Fonte: Blog Golden Cross

Leave a Reply

O seu endereço de e-mail não será publicado. Campos obrigatórios são marcados com *